Dental Extraction

About Service

Short Intro

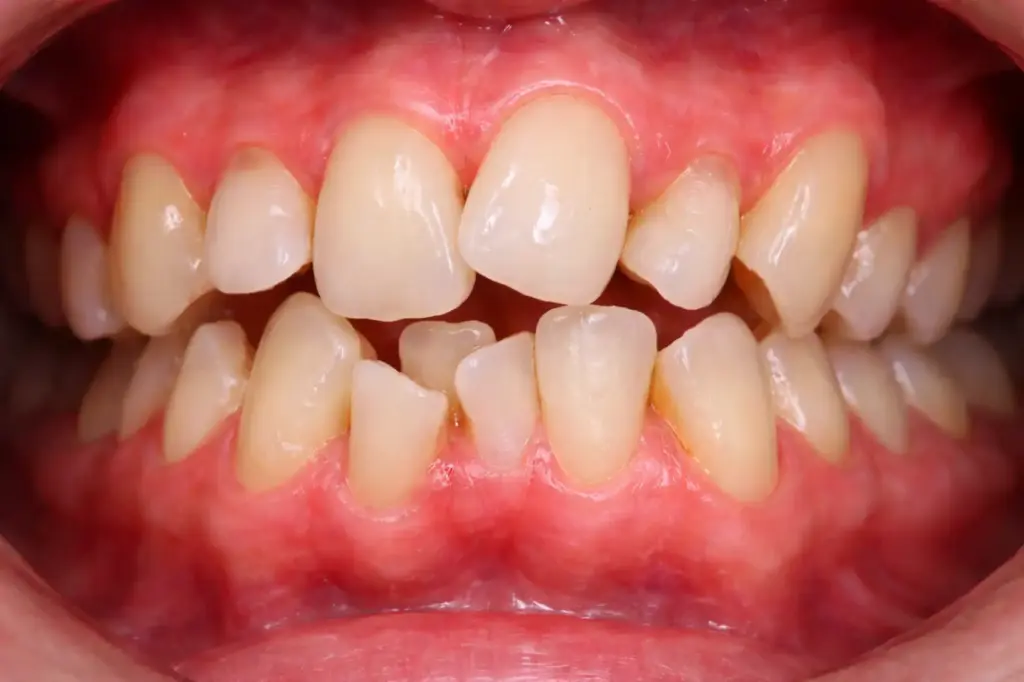
Dental extraction is a safe and necessary procedure to remove severely damaged, decayed, or problematic teeth. At Sri Tatva Dental Care, we perform dental extractions with care and precision to relieve pain, prevent infection, and protect overall oral health.

  • Monday - Saturday

    09:30 AM - 09:00 PM

  • Sunday

    10:00 AM - 09:00 PM

What Is

Dental Extraction?

Dental extraction is the removal of a tooth that cannot be saved due to severe decay, infection, crowding, or trauma. The procedure is performed under local anesthesia to ensure comfort and is followed by proper aftercare to promote healing.

Who Needs Dental Extraction?

Dental extraction is recommended for individuals with:

  • Severely decayed or infected teeth

  • Impacted or partially erupted teeth

  • Overcrowded teeth affecting alignment

  • Broken teeth beyond repair

  • Advanced gum disease causing tooth mobility

  • Teeth causing persistent pain or infection

Timely extraction helps prevent further oral complications.

Benefits of Dental Extraction

Dental extraction helps to:

  • Relieve tooth pain and infection.
  • Prevent spread of infection to nearby teeth.
  • Improve oral health and comfort.
  • Create space for orthodontic treatment.
  • Prepare the mouth for dentures or implants.
  • Support long-term dental stability.
  • Protect surrounding teeth and gums from further damage.
  • Reduce the risk of recurring dental infections.
  • Improve overall bite balance when overcrowding is present.
  • When required, extraction is a beneficial and protective treatment.

When required, extraction is a beneficial and protective treatment.

Dental Extraction

How the Dental Extraction Procedure Works

The procedure usually involves:

  • Dental examination and X-rays

  • Local anesthesia for pain control

  • Gentle loosening and removal of the tooth

  • Cleaning of the extraction site

  • Post-extraction care instructions

Most extractions are completed in a single visit.

Why Choose Us

Our focus is always on long-term oral health, not temporary fixes.

At Sri Tatva Dental Care, every treatment is planned with long-term oral health in mind. We believe in treating the root cause of dental problems, not just the symptoms. Our approach focuses on accurate diagnosis, ethical advice, and personalised care for every patient.

Certified

Experienced dentists trained in safe extraction procedures

Facilities

Modern equipment and sterile clinical environment

Professional

Ethical decision-making with clear explanations

Support

Complete care before, during, and after the procedure

Care After Dental Extraction

After tooth extraction:

  • Bite gently on gauze to control bleeding

  • Avoid hot, hard, or spicy foods initially

  • Do not smoke or use straws

  • Maintain oral hygiene carefully

  • Take prescribed medications as directed

Proper care supports smooth and quick healing.

Dental extractions
FAQ

Frequently Ask Questions

Here are some common questions patients ask about dental fillings. These answers are written in simple language to help you understand the treatment better.

Yes, arriving 10 minutes early helps with preparation and paperwork.

The procedure is performed under anesthesia, so pain is minimal.

Initial healing usually takes 7–10 days.

Soft foods are recommended for the first few days.

Follow-up visits are scheduled as advised to monitor healing.

Yes, dental fillings are safe and commonly used for children to treat cavities and protect teeth from further damage.

Testimonial

What They Say

Book an Appointment for Dental Extraction

If you are experiencing tooth pain or sensitivity, early treatment is important. Book a consultation at Sri Tatva Dental Care to get the right dental filling treatment at the right time.

WhatsApp
Call Us