- Home
- Teeth Whitening
Teeth Whitening
About Service
Short Intro
Monday - Saturday
09:30 AM - 09:00 PM
Sunday
10:00 AM - 09:00 PM
What Is
Teeth Whitening?
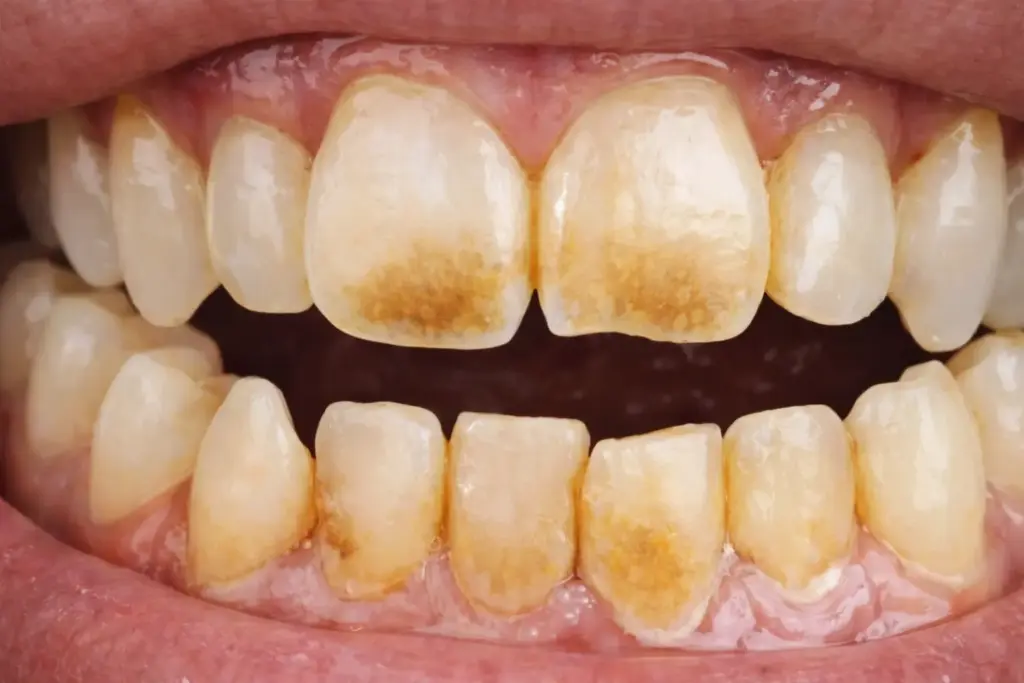
Teeth whitening is a professional procedure that removes stains caused by food, beverages, smoking, or aging. Using clinically approved whitening agents, the treatment lightens the natural shade of your teeth, giving you a brighter and more confident smile.


Who Needs Teeth Whitening?
Teeth whitening is recommended for individuals with:
Yellow or stained teeth
Discoloration due to coffee, tea, or smoking
Dull or uneven tooth colour
Teeth darkened with age
Upcoming special occasions or events
Adults with healthy teeth and gums are ideal candidates for teeth whitening.
Benefits of Teeth Whitening
Teeth whitening helps to:
- Brighten and enhance your smile
- Boost self-confidence
- Remove deep stains effectively
- Provide quick and visible results
- Improve overall facial appearance
- Offer a safe, non-invasive cosmetic solution
Teeth whitening is one of the fastest ways to refresh your smile.


How the Teeth Whitening Procedure Works
The procedure usually involves:
Dental examination and cleaning
Protection of gums and soft tissues
Application of whitening gel
Activation using light (if required)
Final evaluation and shade comparison
Most teeth whitening sessions are completed in one visit.
Why Choose Us
Our focus is always on long-term oral health, not temporary fixes.
At Sri Tatva Dental Care, every treatment is planned with long-term oral health in mind. We believe in treating the root cause of dental problems, not just the symptoms. Our approach focuses on accurate diagnosis, ethical advice, and personalised care for every patient.

Certified
Experienced dentists trained in cosmetic dentistry
Facilities
Modern equipment and safe clinical environment
Professional
Honest advice with personalized treatment plans
Support
Complete care before, during, and after treatment
Care After Teeth Whitening
After your whitening treatment:
Avoid staining foods and drinks for 24–48 hours
Do not smoke or chew tobacco
Maintain good oral hygiene
Use dentist-recommended toothpaste
Schedule regular dental check-ups
Proper care helps maintain long-lasting whitening results.

FAQ
Frequently Ask Questions
Here are some common questions patients ask about dental fillings. These answers are written in simple language to help you understand the treatment better.
Yes, please arrive 10 minutes early for consultation and preparation.
Yes, professional teeth whitening is safe when performed by a dentist.
Most sessions take about 45–60 minutes.
Results can last several months with proper oral care.
Mild sensitivity may occur temporarily and usually subsides quickly.
Testimonial
What They Say
SAITEJA PALLERLATrustindex verifies that the original source of the review is Google. I was visited Sri Tatva Dental Care for dental fillings. Dr. Satyakamal Vanama explained the procedure clearly and made me feel comfortable throughout the treatment. The clinic is clean, well-equipped, and the treatment was smooth and painless & Iam Very satisfied with the care.. Vuppala HarishguptaTrustindex verifies that the original source of the review is Google. I have visited SRI TATVA DENTAL CARE regarding my tooth pain, Dr.Satyakamal has taken one OPG Xray and told that we need to remove the tooth, Extraction went smoothly and precautions were well explained to me by Dr.satyakamal. Muripiti uday kiran Uday kiranTrustindex verifies that the original source of the review is Google. Nice treatment AndaluTrustindex verifies that the original source of the review is Google. Dr. Satyakamal Vanama garu did my root canal treatment very smoothly and explained everything clearly... Deepthi KattamudiTrustindex verifies that the original source of the review is Google. Doctor was Super gentle, Clinic was well hygienic and modern, doctor explained all the options very clearly Varun TejaTrustindex verifies that the original source of the review is Google. Good place
Book an Appointment for Teeth Filling
- +91 8977 787 999
- Location: 4th Floor, Bharath Plaza, Opp BRC Shiva Hills, Puppalaguda, Manikonda, Hyderabad.
If you are experiencing tooth pain or sensitivity, early treatment is important. Book a consultation at Sri Tatva Dental Care to get the right dental filling treatment at the right time.
