- Home
- Flap Surgery
Flap Surgery
About Service
Short Intro
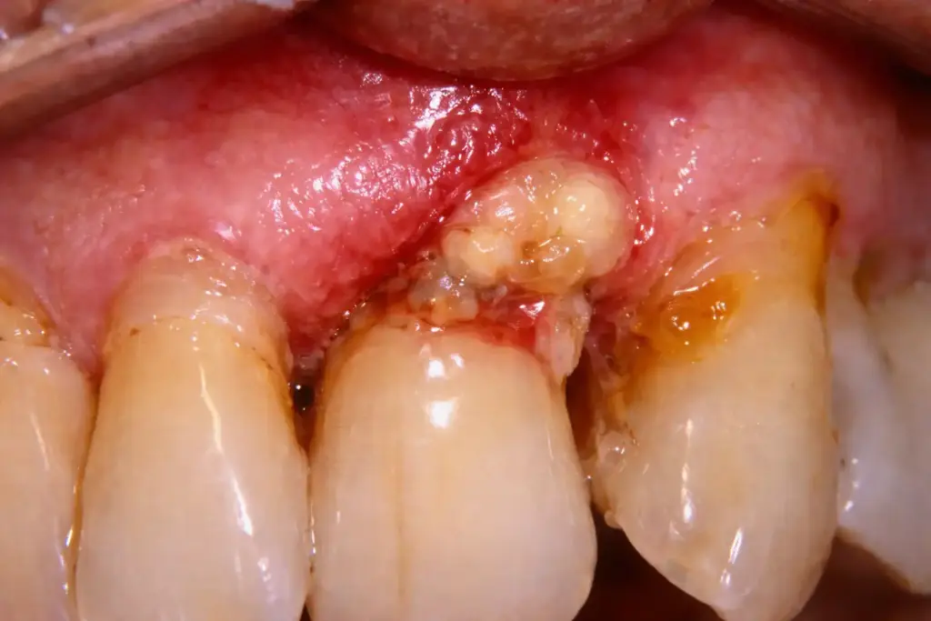
Flap surgery is an advanced periodontal procedure used to treat severe gum disease and protect teeth from further damage. At Sri Tatva Dental Care, we perform flap surgery using precise techniques to remove infection, improve gum health, and preserve natural teeth.
Monday - Saturday
09:30 AM - 09:00 PM
Sunday
10:00 AM - 09:00 PM
What Is
Flap Surgery?
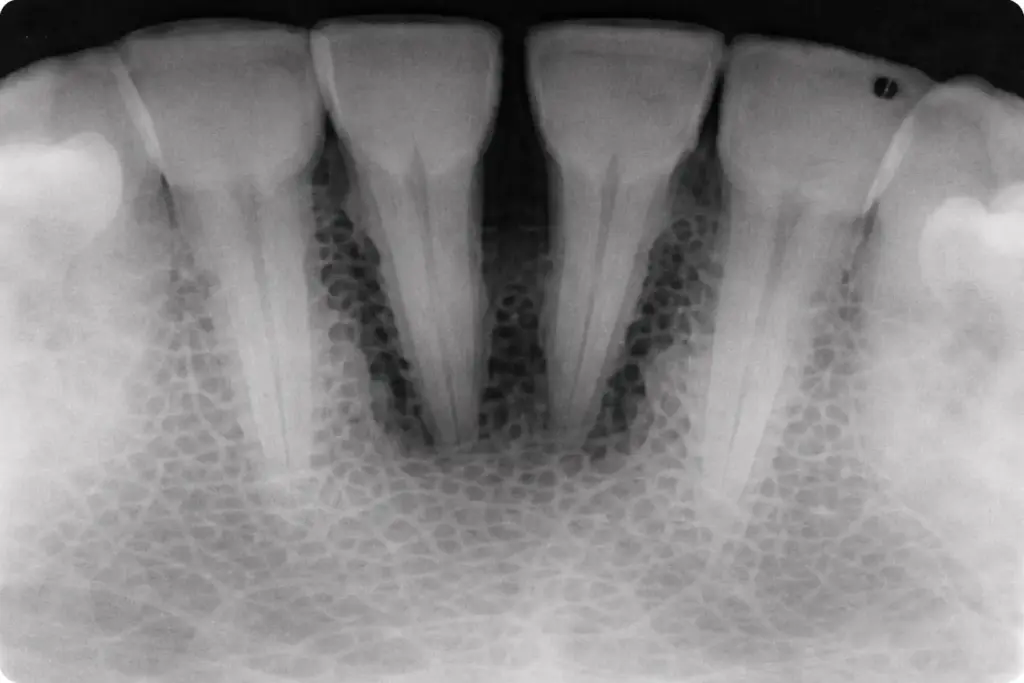
Flap surgery is a gum treatment where the gums are gently lifted to access deep infection beneath the gum line. The infected tissue, plaque, and tartar are removed, and the gums are repositioned securely to allow proper healing. This procedure helps control advanced gum disease and prevent tooth loss.


Who Needs Flap Surgery?
Flap surgery is recommended for individuals with:
Advanced gum disease (periodontitis)
Deep gum pockets
Persistent gum infection
Loose teeth due to gum damage
Bone loss around teeth
Poor response to deep cleaning treatments
Early intervention helps prevent further complications.
Benefits of Flap Surgery
Flap surgery helps to:
Remove deep-seated gum infection.
Reduce gum pocket depth effectively.
Clean bacteria and tartar from below the gum line.
Prevent further bone loss around teeth.
Prevent tooth loss caused by advanced gum disease.
Improve gum attachment to teeth.
Reduce gum inflammation and swelling.
Relieve gum pain and discomfort.
Enhance long-term oral health and stability.
It is an effective solution for advanced gum problems.


How the Flap Surgery Procedure Works
The treatment process usually includes:
Detailed gum examination and imaging
Local anesthesia for comfort
Deep cleaning of roots and infected areas
Repositioning and securing gums
Follow-up visits for healing assessment
The procedure is safe and performed with patient comfort in mind.
Why Choose Us
Our focus is always on long-term oral health, not temporary fixes.
At Sri Tatva Dental Care, every treatment is planned with long-term oral health in mind. We believe in treating the root cause of dental problems, not just the symptoms. Our approach focuses on accurate diagnosis, ethical advice, and personalised care for every patient.

Certified
Experienced dentists trained in periodontal surgeries
Facilities
Ethical treatment planning with clear communication
Professional
Ethical treatment planning with clear and honest communication.
Support
Complete care before, during, and after surgery
Care After Flap Surgery
After flap surgery:
Take prescribed medications as advised
Maintain gentle oral hygiene
Avoid hard or spicy foods during healing
Do not smoke or chew tobacco
Attend follow-up appointments
Proper care supports faster healing and better outcomes.

FAQ
Frequently Ask Questions
Here are some common questions patients ask about dental fillings. These answers are written in simple language to help you understand the treatment better.
Testimonial
What They Say
Yes, arriving 10 minutes early helps with preparation and consultation.
The procedure is done under anesthesia; mild discomfort may occur during recovery.
Initial healing takes about 1–2 weeks, depending on individual response.
Yes, it helps stabilize teeth by controlling infection and improving gum health.
Follow-up visits are scheduled within a week to monitor healing.
SAITEJA PALLERLATrustindex verifies that the original source of the review is Google. I was visited Sri Tatva Dental Care for dental fillings. Dr. Satyakamal Vanama explained the procedure clearly and made me feel comfortable throughout the treatment. The clinic is clean, well-equipped, and the treatment was smooth and painless & Iam Very satisfied with the care.. Vuppala HarishguptaTrustindex verifies that the original source of the review is Google. I have visited SRI TATVA DENTAL CARE regarding my tooth pain, Dr.Satyakamal has taken one OPG Xray and told that we need to remove the tooth, Extraction went smoothly and precautions were well explained to me by Dr.satyakamal. Muripiti uday kiran Uday kiranTrustindex verifies that the original source of the review is Google. Nice treatment AndaluTrustindex verifies that the original source of the review is Google. Dr. Satyakamal Vanama garu did my root canal treatment very smoothly and explained everything clearly... Deepthi KattamudiTrustindex verifies that the original source of the review is Google. Doctor was Super gentle, Clinic was well hygienic and modern, doctor explained all the options very clearly Varun TejaTrustindex verifies that the original source of the review is Google. Good place
Book an Appointment for Flap Surgery
- +91 8977 787 999
- Location: 4th Floor, Bharath Plaza, Opp BRC Shiva Hills, Puppalaguda, Manikonda, Hyderabad.
If you are experiencing tooth pain or sensitivity, early treatment is important. Book a consultation at Sri Tatva Dental Care to get the right dental filling treatment at the right time.
