- Home
- Invisible Braces
Invisible Braces
About Service
Short Intro
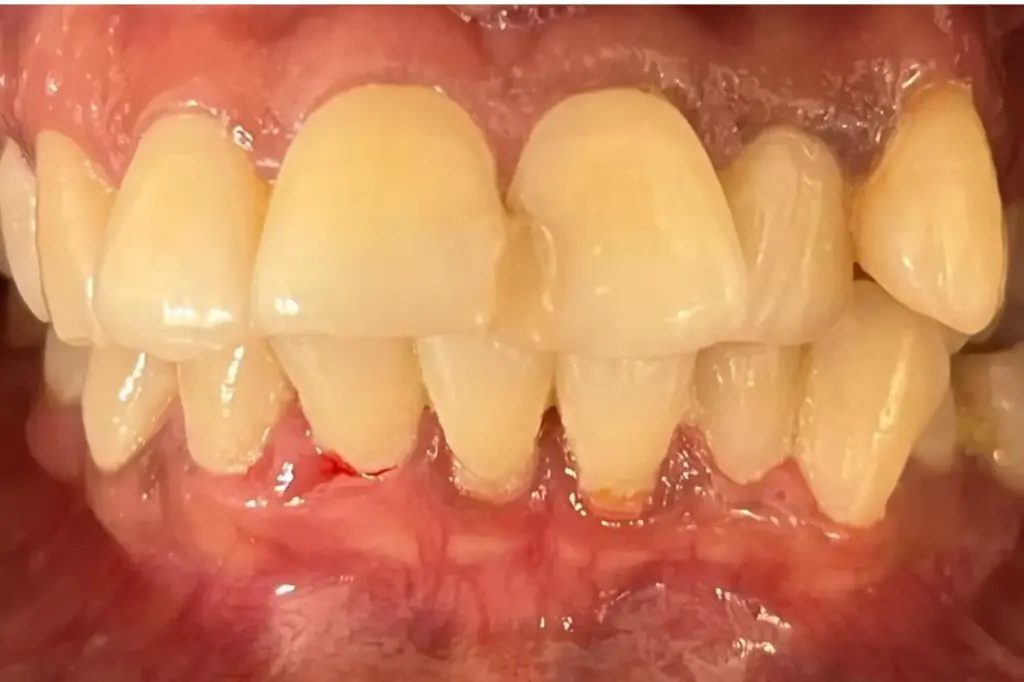
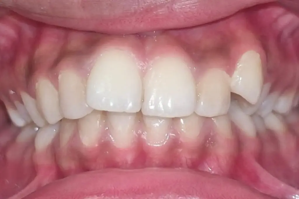
Invisible braces are a modern orthodontic solution designed to straighten teeth discreetly and comfortably. At Sri Tatva Dental Care, we provide advanced invisible braces that help you achieve a confident, well-aligned smile without the look of traditional metal braces.
Monday - Saturday
09:30 AM - 09:00 PM
Sunday
10:00 AM - 09:00 PM
What Are
Invisible Braces?
Invisible braces are clear, removable aligners custom-made to gradually move teeth into proper alignment. They are nearly invisible when worn and are designed using digital planning to ensure precise and predictable results. Invisible braces are comfortable and fit seamlessly into daily life.


Who Needs Invisible Braces?
Invisible braces are recommended for individuals with:
Crooked or misaligned teeth
Gaps between teeth
Mild to moderate bite issues
Relapse after previous orthodontic treatment
A preference for discreet orthodontic care
Teenagers and adults commonly choose invisible braces for aesthetic reasons.
Benefits of Invisible Braces
Invisible braces help to:
Straighten teeth discreetly
Improve smile appearance
Offer removable and comfortable wear
Make eating and oral hygiene easier
Reduce irritation compared to metal braces
Provide predictable and effective results
They are a popular choice for modern orthodontic treatment.


How the Invisible Braces Procedure Works
The treatment process usually includes:
Orthodontic evaluation and digital scans
Customized aligner treatment planning
Fabrication of clear aligners
Periodic aligner changes
Regular progress reviews
Treatment duration varies depending on alignment needs.
Why Choose Us
Our focus is always on long-term oral health, not temporary fixes.
At Sri Tatva Dental Care, every treatment is planned with long-term oral health in mind. We believe in treating the root cause of dental problems, not just the symptoms. Our approach focuses on accurate diagnosis, ethical advice, and personalised care for every patient.

Certified
Trained orthodontic professionals with aligner expertise
Facilities
Digital scanning and modern orthodontic technology
Professional
Clear treatment plans with honest guidance
Support
Continuous monitoring and patient support throughout treatment
Care While Using Invisible Braces
While wearing invisible braces:
Wear aligners as prescribed
Remove aligners while eating or drinking
Clean aligners daily
Maintain proper oral hygiene
Attend regular follow-up visits
Following instructions ensures faster and effective results.

FAQ
Frequently Ask Questions
Here are some common questions patients ask about dental fillings. These answers are written in simple language to help you understand the treatment better.
Yes, arriving 10 minutes early helps with evaluation and preparation.
No, they are clear and barely visible when worn.
Treatment usually ranges from 6 to 18 months depending on case complexity.
Yes, aligners are removable, so you can eat normally.
They are best for mild to moderate alignment issues; your dentist will advise suitability.
Testimonial
What They Say
SAITEJA PALLERLATrustindex verifies that the original source of the review is Google. I was visited Sri Tatva Dental Care for dental fillings. Dr. Satyakamal Vanama explained the procedure clearly and made me feel comfortable throughout the treatment. The clinic is clean, well-equipped, and the treatment was smooth and painless & Iam Very satisfied with the care.. Vuppala HarishguptaTrustindex verifies that the original source of the review is Google. I have visited SRI TATVA DENTAL CARE regarding my tooth pain, Dr.Satyakamal has taken one OPG Xray and told that we need to remove the tooth, Extraction went smoothly and precautions were well explained to me by Dr.satyakamal. Muripiti uday kiran Uday kiranTrustindex verifies that the original source of the review is Google. Nice treatment AndaluTrustindex verifies that the original source of the review is Google. Dr. Satyakamal Vanama garu did my root canal treatment very smoothly and explained everything clearly... Deepthi KattamudiTrustindex verifies that the original source of the review is Google. Doctor was Super gentle, Clinic was well hygienic and modern, doctor explained all the options very clearly Varun TejaTrustindex verifies that the original source of the review is Google. Good place
Book an Appointment for Invisible Braces
- +91 8977 787 999
- Location: 4th Floor, Bharath Plaza, Opp BRC Shiva Hills, Puppalaguda, Manikonda, Hyderabad.
If you are experiencing tooth pain or sensitivity, early treatment is important. Book a consultation at Sri Tatva Dental Care to get the right dental filling treatment at the right time.