- Home
- Porcelain Veneers
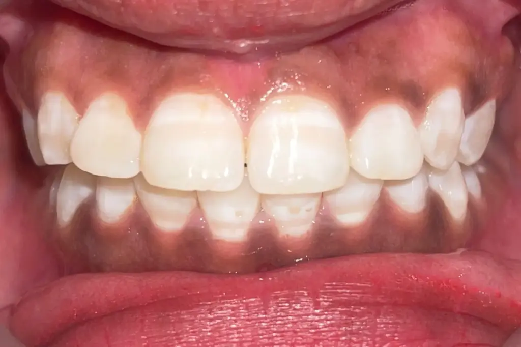
Porcelain Veneers
About Service
Short Intro
Porcelain veneers are a premium cosmetic dental solution designed to enhance the appearance of your smile. At Sri Tatva Dental Care, we offer custom-made porcelain veneers that deliver natural-looking, long-lasting, and confident smiles.
Monday - Saturday
09:30 AM - 09:00 PM
Sunday
10:00 AM - 09:00 PM
What Are
Porcelain Veneers?
Porcelain veneers are thin, tooth-coloured shells that are bonded to the front surface of teeth. They are used to improve the shape, size, colour, and alignment of teeth. Veneers are individually crafted to blend seamlessly with your natural teeth for an attractive and balanced smile.


Who Needs Porcelain Veneers?
Porcelain veneers are recommended for individuals with:
Discolored or stained teeth
Chipped or broken teeth
Gaps between teeth
Uneven or irregular tooth shape
Mildly misaligned teeth
Worn enamel
Adults looking for long-term cosmetic improvement often choose porcelain veneers.
Benefits of Porcelain Veneers
Porcelain veneers help to:
- Enhance smile aesthetics
- Provide a natural tooth appearance
- Resist stains better than natural enamel
- Improve tooth shape and alignment
- Boost self-confidence
- Deliver durable, long-lasting results
- Provide complete smile enhancement
They are a popular choice for complete smile enhancement


How the Porcelain Veneers Procedure Works
The treatment process usually involves:
Smile evaluation and treatment planning
Minimal tooth preparation
Shade selection for natural matching
Bonding veneers securely to teeth
Final polishing and bite check
The procedure is comfortable and completed over a few visits.
Why Choose Us
Our focus is always on long-term oral health, not temporary fixes.
At Sri Tatva Dental Care, every treatment is planned with long-term oral health in mind. We believe in treating the root cause of dental problems, not just the symptoms. Our approach focuses on accurate diagnosis, ethical advice, and personalised care for every patient.

Certified
Skilled cosmetic dentists with veneer expertise
Facilities
Advanced dental technology and modern clinic environment
Professional
Personalized smile plans with transparent communication
Support
Complete guidance before, during, and after treatment
Care After Porcelain Veneers
After getting porcelain veneers:
Maintain regular brushing and flossing
Avoid biting very hard objects
Limit staining foods and beverages
Wear a night guard if advised
Attend routine dental check-ups
Proper care ensures veneers stay beautiful for years.

FAQ
Frequently Ask Questions
Here are some common questions patients ask about dental fillings. These answers are written in simple language to help you understand the treatment better.
Yes, arriving 10 minutes early helps with consultation and preparation.
The procedure is minimally invasive and generally comfortable.
With proper care, porcelain veneers can last 10–15 years or longer.
Yes, veneers are custom-designed to closely match natural teeth.
Patients with healthy teeth and gums are ideal candidates.
Testimonial
What They Say
SAITEJA PALLERLATrustindex verifies that the original source of the review is Google. I was visited Sri Tatva Dental Care for dental fillings. Dr. Satyakamal Vanama explained the procedure clearly and made me feel comfortable throughout the treatment. The clinic is clean, well-equipped, and the treatment was smooth and painless & Iam Very satisfied with the care.. Vuppala HarishguptaTrustindex verifies that the original source of the review is Google. I have visited SRI TATVA DENTAL CARE regarding my tooth pain, Dr.Satyakamal has taken one OPG Xray and told that we need to remove the tooth, Extraction went smoothly and precautions were well explained to me by Dr.satyakamal. Muripiti uday kiran Uday kiranTrustindex verifies that the original source of the review is Google. Nice treatment AndaluTrustindex verifies that the original source of the review is Google. Dr. Satyakamal Vanama garu did my root canal treatment very smoothly and explained everything clearly... Deepthi KattamudiTrustindex verifies that the original source of the review is Google. Doctor was Super gentle, Clinic was well hygienic and modern, doctor explained all the options very clearly Varun TejaTrustindex verifies that the original source of the review is Google. Good place
Book an Appointment for Porcelain Veneers
- +91 8977 787 999
- Location: 4th Floor, Bharath Plaza, Opp BRC Shiva Hills, Puppalaguda, Manikonda, Hyderabad.
If you are experiencing tooth pain or sensitivity, early treatment is important. Book a consultation at Sri Tatva Dental Care to get the right dental filling treatment at the right time.